Teeth
213 days to 100 miles
This is the second issue based on events that happened in the Netherlands the other week, and I’ve got another one bubbling in my head, so I’ve taken to thinking of this mini-series as The Netherlands Trilogy, which sounds like an uninspired trio of spy novels. Rotterdam Game, Amsterdam Set, Schiphol Match?
[Don’t worry, this is all loosely related to my experience of training for my debut 100 mile race in a little over two-hundred days (we’re already a third of the way through the 326 day build up!), so isn’t completely off-topic.]
We came back from the Netherlands with the following souvenirs:
Postcards from the Van Gogh Museum.
Tulip bulbs from the Tulip Museum.
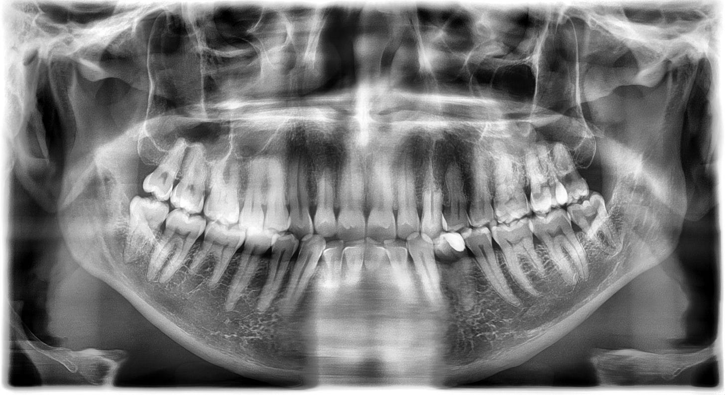
A panoral x-ray of my teeth from Dental 365 in Rotterdam.
I recommend all three institutions. The Van Gogh Museum is impressive, and I came away knowing a lot more about an artist who is, I now think, often unfairly, flippantly mischaracterised. The Tulip Museum is small, but their displays on the history of tulips (including the crazy seventeenth century tulip boom market that saw some bulbs worth more than houses) is well put together. Dental 365 wasn’t a planned stop on our itinerary, but if you need emergency dental care in the Netherlands, it’s perfect.
My teeth started aching on our first day, after a post-travel nap. This continued as a dull ache throughout the left side of my jaw with intermittent prolonged, agonising sharp pain in one tooth (my first premolar on the left hand side: the one with the white filling visible in the x-ray. nb: the right side of the image is the left side of my face). When the sharp pain kicked in, after any change in my situation (hot, cold, moving, pausing, anything), I just had to stop and breathe until it eventually subsided.
Paracetamol wasn’t enough, and as the pain hadn’t gone after a couple of days, we visited the Dental 365 emergency clinic at Erasmus Medical Centre. Going in with experience of the UK dental system, we weren’t expecting it to be as good as it was. Despite the receptionist warning us they were busy, and there would be a wait, I was seen almost instantly. Within a few minutes I had an x-ray and was chatting to the dentist.
Her diagnosis was that it wasn’t infected and was likely nerve damage from grinding my teeth. The fuzzy, indistinct image of the root implied that I’d been injuring that tooth for some time (something similar is happening on the upper teeth directly above it, which you can tell from the x-ray as my canines and premolars on the left have less distinct roots than those on my right, because the root is being resorbed. This is an ongoing issue for me, and I already have a mouthguard for it, so didn’t come as a surprise). She thought root canal surgery would solve the pain, which could have happened there and then, but suggested that I may prefer to have that done at home, which I agreed with. I left €130 lighter, with a prescription for hefty ibuprofen, and the knowledge that at least it wasn’t an infection that might turn septic.
Last Monday (3rd November), a painful week after my visit to the dentist in Rotterdam, I had an emergency appointment in Southampton, expecting to have root canal surgery. But, after a second set of x-rays that dentist told me the anatomy of the tooth was unusual, it may have three or four roots, and the nerves look as though they might be curved, so it wouldn’t be easy and may not solve the problem. I got a referral to an endodontist (a specialist on the inside of teeth) for a CT scan, which will happen this coming Monday, to try and understand what is going on in my mouth.
By this point, my Dutch ibuprofen had run out and I opted not to take any more because I wanted to get back to running (ibuprofen is not good for runners). The logic of my decision was that when the pain kicked in it was 8 or 9 out of 10, even with the drugs. It happened seemingly randomly, regardless of what I was doing, so I might as well try and continue doing things I enjoy rather than mope on the sofa. The following day, last Tuesday, was a stress test for that assumption, as I went to the track for a session that turned out to be the most painful I’ve ever done - but due to the intense pain in my teeth, rather than the burn in my legs and lungs from running fast. The next day, last Wednesday, was the most painful I’d had, with my whole head aching and more of the sharp pain attacks than in previous days.
And then, from last Thursday, it started to get better. Now, more than two weeks in to this sorry saga, I’ve got a constant low level ache and a sensitivity to hot and cold, but that’s about it. I’m OK-ish, and don’t know why.
Things started to improve soon after I bought CBD capsules from Holland & Barrett as a desperate roll of the dice. For the last six days I’ve taken one 20 mg capsule daily. I don’t think the CBD is directly helping with the nerve pain, because then it would be doing something that ibuprofen and paracetamol couldn’t, but I feel that it is more than a placebo or a coincidence. My theory is that it has relaxed me, reducing the amount of grinding I’m doing in my sleep, and giving my tooth nerves a chance to recover.
Clearly, something isn’t right with that tooth. The pain it gave me was almost unbearable, and I don’t want this flaring up again. Because there is still a problem to resolve, I’ll keep my appointments next week. I hope the specialists can get to the bottom of it all, but I am coming to the opinion that the solution is not necessarily all dental. This tooth might well be past the point of full recovery, and surgery or extraction may be necessary, but the cause of the problem will continue: I’ll probably still grind my teeth and then another one will hurt and need attention. To stop future tooth pain, I need to deal with the stress or anxiety that is causing the grinding.
I don’t just need a dentist, or even an endodontist. I think I need a psychotherapist.
This is volume one, issue thirteen of ¡Venga!, a running journal by Jonathan S. Bean.
Volume one: ‘326 days to 100 miles,’ documents Jonathan’s preparation for, and participation in the South Downs Way 100 mile race on 13 June 2026. The journal is published on Substack and as a paper newsletter sent by post.
Subscribe to receive new posts in your email inbox, for free
Subscribe to receive the print edition of each newsletter, posted to your door, for £5 a month.
Part one of The Netherlands Trilogy…
Rotterdam and Amsterdam
In Brilliant Orange, David Winner writes about the Dutch conception of space as being different than other people’s. His premise was that because a lot of their country is below sea level, consisting of reclaimed land, they’ve had to be inventive with how they use it. This filters through to different areas, including football, where it resulted in the …




